Behandlung einer Knie-Arthrose mit 2 Schlittenporothesen
02.07.2023
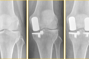
Behandlung einer Knie-Arthrose mit 2 Schlittenporothesen
Wir zeigen die Bilder einer Patientin, bei der sich nach der erfolgreichen Behandlung einer innenseitigen Knie-Arthrose mittels innenseitiger Schlittenprothese Schmerzen und Verschleißzeichen auf der Knie-Außenseite entwickelt haben. Die Behandlung ...
» mehr
OrthoPlus gratuliert der SpVgg Unterhaching zum Aufstieg in die 3. Fußball Bundesliga
11.06.2023
OrthoPlus gratuliert der SpVgg Unterhaching zum Aufstieg in die 3. Fußball Bundesliga
Nach einem 1:2 Auswärtssieg im Hinspiel konnte die SpVgg Unterhaching durch einen 2:0 Rückspiel-Sieg im heimischen Sportpark den Aufstieg in die 3.Liga perfekt machen.
OrthoPlus München gratuliert unserem langjährigen Partner zu diesem tollen ...
» mehr
Sophie Rabanser gewinnt Snowboard Coppa Italia
03.04.2023
Sophie Rabanser gewinnt Snowboard Coppa Italia
...vom OP aufs Siegerpodest :-) Wir gratulieren Sophie Rabanser zum Gewinn der Snowboard Coppa Italia. Sophie's Behandlung war ein Paradebeispiel der Zusammenarbeit zwischen konservativer und operativer Medizin dies- und jenseits des Brenners. Danke ...
» mehr
OrthoPlus beim 1. Kurs Patello-Femoral der Deutschen Kniegesellschaft DKG
OrthoPlus beim 1. Kurs Patello-Femoral der Deutschen Kniegesellschaft DKG
Die OrthoPlus Ärzte Florian Perwanger (Bozen) und Philipp Ahrens und Stefan Hinterwimmer (München) waren als Vortragende und Instruktoren Teil des ersten Kurses Patello-Femoral der Deutschen Kniegesellschaft DKG am 23. und 24.03.2023 in Duisburg ...
» mehr
Ehemaliger Box-Weltmeister bei OrthoPlus operiert
Ehemaliger Box-Weltmeister bei OrthoPlus operiert
? Der frühere Box-Weltmeister - eine faszinierende Person mit Box- und sozialem und politischem Engagement - bedankt sich bei OrthoPlus München für die gute Betreuung ?
» mehr
YouTube Fitness Ikone Sascha Huber bedankt sich bei OrthoPlus
28.01.2023
Der Fitness-Coach und -Influencer Sascha Huber, bekannt durch seine Videos auf YouTube und Instagram, wurde auf Grund einer Knieverletzung bei OrthoPlus behandelt, vermittelt durch Kai Pflaume und begleitet und unterstützt vom COROX Chef Hansi ...
» mehr