02.07.2023
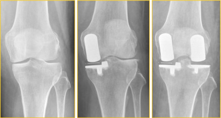
Behandlung einer Knie-Arthrose mit 2 Schlittenporothesen
Wir zeigen die Bilder einer Patientin, bei der sich nach der erfolgreichen Behandlung einer innenseitigen Knie-Arthrose mittels innenseitiger Schlittenprothese Schmerzen und Verschleißzeichen auf der Knie-Außenseite entwickelt haben. Die Behandlung erfolgte jetzt mittels einer außenseitigen Schlittenprothese. So können weiterhin alle Kniegelenksbänder und der normale Bewegungsablauf des Kniegelenks erhalten werden. Zusätzlich, und das ist für jeden Patienten von enormer Bedeutung, ist die Rehabilitation nach einer ein- oder beidseitigen Schlittenprothese viel kürzer als bei einer Komplettprothese.
